A atriz Luana Piovani disse que está passando por um perrengue, com os filhos sem o pai, em Portugal.
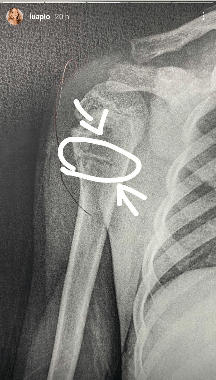
Seu filho com o surfista e brothers Scooby, Dom, machucou e acabou por fraturar um osso do braço, deixando a mãe famosa preocupada, pois está longe da família e tem mais dois filhos gêmeos para cuidar.
Dom, filho mais velho, precisou ficar no hospital por um período curto de tempo, fazendo exames e tomando a medicação para tratar as dores causadas pela lesão.
Ainda no hospital, o filho de Luana com o brother , pediu diversas vezes a presença do pai, perguntando a mãe quando ele iria chegar. Luana afirmou que ele está passando por essa crise há uns oito dias, e agravando com ocorrido.
Na postagem é possível ouvir ele pedindo para a mãe chamar o pai, perguntando quando ele chegaria e dizendo que estava com medo .
Luana contou ainda que estava contando com a ajuda de gente que ela nem conhecia, como uma vizinha, que se dispôs a levar os gêmeos para a ginástica enquanto uma amiga fazia suas compras e ela cuida do filho em repouso, em casa .

